Israel/Shephelah
Roman
Burial cave, Tomb 4, Excavation H. Remalya (1160/0), מערה
Lamp, discus
round shapped
Rendzina soils
—
Lighting
10YR7/3 (palebrown)
Mold made
<700
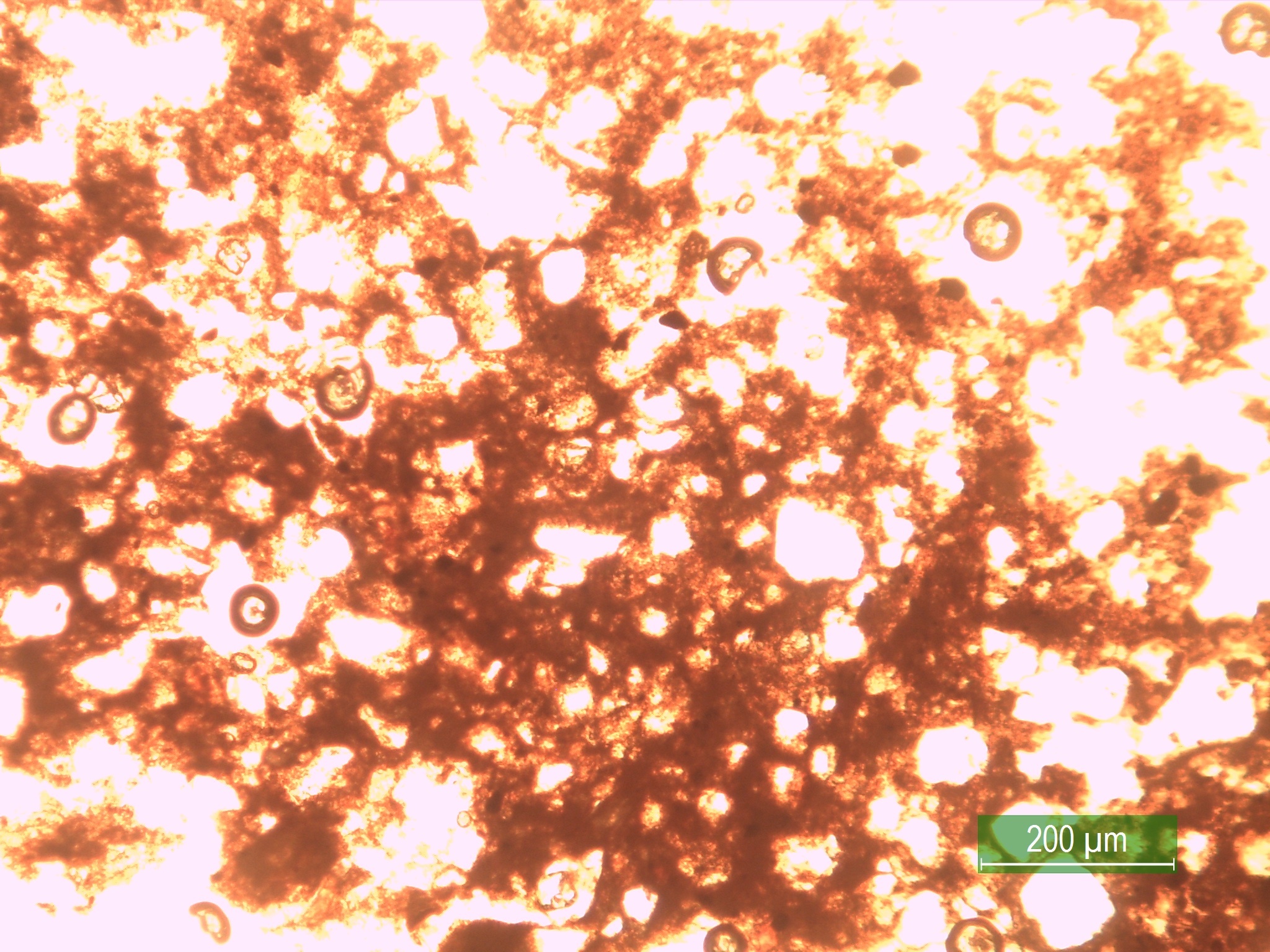
The number of bioclastic formations of the Quaternary Coast, Neogene marl, and reduced quantity of quartz suggest the coast of Lebanon: Senonian or Eocene and Cenomanian-Turonian age sedimentary outcrops in the Lebanese mountains. The provenance of this lamp group is identified in the broader Sidon hinterland to the region of Akko (Group Sidon-Akko).
Petrographic data suggests they were produced in or around key Roman pottery centers like Chhim and Porphyreon, where similar ceramic traditions thrived. Sites such as Tell el-Burak present similar sediments but in Bronze Age vessels. The large cities of Beruit, Sidon, and Tyre may have produced lamps with equal soil origins.
Many thanks to the Israel Antiquities Authority (IAA), the University of São Paulo, Tel Aviv University, and Durham University. Acknowledges to FAPESP (São Paulo Research Foundation).